| |||||
| Auteur | Sujet : [topic santé] Chambre de garde - no diag c'est pas docti ici |
|---|---|
LeKeiser Appelez moi Marcel. | Reprise du message précédent : La fracture de la main, il ne m'a rien dit "vous verrez avec l'orthopédiste, c'est un bundle avec l'épaule" Question dernière : je ne savais pas que je n'aurai pas de carence si on m'arrêtait car c'est un accident de trajet. Ce que j'ai, il est préférable d'être arrêté ou on peut tout à fait aller bosser, en faisant attention. On ne m'a rien dit du tout, sauf "Bonsoir et bon courage !" la femme à la radio : Message cité 1 fois Message édité par LeKeiser le 10-04-2024 à 21:43:13 --------------- Et je regarde passer les jours comme les pages blanches d'un livre qui touche à sa fin. |
Publicité | Posté le 10-04-2024 à 21:40:27 ![]() ![]() |
rionsnoir | essaye d'avoir un rdv avec un ortho plus rapide, autour de chez toi. Les cliniques privés ont osuvent des créneaux assez rapide (enfin en RP) --------------- Pseudo Nintendo: Mik |
MasterGone | Les orthopédistes, c'est souvent très long pour avoir un RDV, donc tu risques de ne pas trop avoir le choix.... Ton MT ne t'en a pas conseillé un en particulier ? |
philibear Orbital Bacon |
--------------- Mon topok ACH/VENTE: http://forum.hardware.fr/forum2.ph [...] ost=572744 |
D_omi sourit | Les urgences du GH Diaconesses Croix Saint Simon (Paris)
--------------- (='.'=)Think of how stupid the average person is, and realize half of them are stupider than that. G. Carlin (ˇˍˇ) |
LeKeiser Appelez moi Marcel. |
Message édité par LeKeiser le 10-04-2024 à 22:07:47 --------------- Et je regarde passer les jours comme les pages blanches d'un livre qui touche à sa fin. |
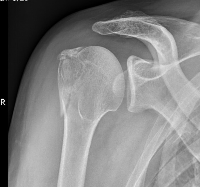
chinois02 | Sur un truc comme ça quand je bosse aux Urgences je demande l'avis chir ortho de suite. la partie osseuse fracturée est le siège d'insertions tendineuses et, à chaque fois que tu as mal à l'épaule, tu tires sur les bouts d'os cassé qui peuvent se déplacer et rendre l'intervention obligatoire secondairement!
Message édité par chinois02 le 10-04-2024 à 22:22:52 --------------- N'importe qui peut voir ce que tu sembles être; quelques rares seulement peuvent tâter ce que tu es. Et ces derniers n'osent contredire l'opinion du grand nombre, renforcée par toute la majesté de l'État. Machiavel-Le Prince. |
Publicité | Posté le 10-04-2024 à 22:20:37 ![]() ![]() |
chinois02 |
Mais ton MT pourra immobiliser provisoirement la fracture. Message cité 1 fois Message édité par chinois02 le 10-04-2024 à 22:40:35 --------------- N'importe qui peut voir ce que tu sembles être; quelques rares seulement peuvent tâter ce que tu es. Et ces derniers n'osent contredire l'opinion du grand nombre, renforcée par toute la majesté de l'État. Machiavel-Le Prince. |
efyliae | LK habite en petite couronne de Paris. En tapant sa ville dans Doctolib+orthopédiste+consultation épaules on trouve des rdv pour vendredi. À vérifier si on peut aller au bout de la prise de rdv mais bon, c'est pas comme s'il était dans un désert médical LK as-tu prévenu ton employeur pour l'accident de trajet ? Tu n'as pas à avancer les frais médicaux avec ça. Message cité 1 fois Message édité par efyliae le 10-04-2024 à 22:45:59 |
efyliae |
C'est un accident de trajet, pas un accident de travail. |
Kilyn Milé sek milé |
--------------- Nous ne sommes pas des êtres humains vivant une expérience spirituelle. Nous sommes des êtres spirituels vivant une expérience humaine. |
efyliae |
Je veux pas me mettre rheo à dos si y a des nuances |
LeKeiser Appelez moi Marcel. |
--------------- Et je regarde passer les jours comme les pages blanches d'un livre qui touche à sa fin. |
LeKeiser Appelez moi Marcel. |
Message édité par LeKeiser le 11-04-2024 à 07:17:08 --------------- Et je regarde passer les jours comme les pages blanches d'un livre qui touche à sa fin. |
crepator4 Deus ex machina | sur doctolib y'a des crenaux rapide sur paris si tu tape pas epaule https://www.doctolib.fr/traumatologies/paris (faut fouiller dans le detail ,1 se mets specialiste de la main, mais dans le detail il fait aussi epaule en lieu 2, edit enfin pas sur son cv ?!!)
Message édité par crepator4 le 11-04-2024 à 08:42:47 --------------- ...survivre à ses Medecins... |
spiderben25 | Je connais pas les hôpitaux parisiens mais le plus simple aurait été de passer par un service d'urgences, tu aurais eu tout le bilan d'imagerie + avis spé dans la foulée. |
GAS Wifi filaire© | C'est clair que c'est n'importe quoi ce parcours pour des fractures Mon fils a eu un accident de vélo aussi, pendant 36h on s'est pas inquiété (rien en apparence à part un peu de douleur), puis devant la douleur qui augmentait on est allé aux urgences de notre petit hôpital, pas devant un MG en cabinet. Il en est sorti avec radio, avis orthopédiste à distance et plâtre pour 5 semaines, . Message édité par GAS le 11-04-2024 à 08:23:26 --------------- On a pas attendu les pneus en 180 pour attaquer ! |
tails38 | Je pense que LK ne voulait pas encombrer les urgences pour une chute qu'il ne pensait pas aussi impactante sur son corps.
|
Gnarfou Gnarf pour les intimes | Il reprend sa trottinette et retombe, zou direct urgence !
--------------- C'est curieux, chez les marins, ce besoin de faire des phrases. |
efyliae |
Arrête de te trouver des excuses encore et toujours, y a des rdv aujourd'hui même sur Paris, ça coûte rien d'appeler pour confirmer ou te conseiller d'aller aux urgences |
LeKeiser Appelez moi Marcel. | Ben avec tout ce qu'on nous dit sur les urgences, de ne pas les encombrer pour pas grand chose. J'ai chuté en trottinette, je me suis relevé et j'ai vu que je pouvais plier mes membres. Dans la douleur, mais je pouvais les plier. Donc je suis allé au boulot. Et là, ma SSII m'a dit qu'ils allaient faire une feuille d'accident de trajet et que je devrai consulter un docteur. J'ai eu de la chance d'avoir le rendez-vous le soir même. Il n'a pas pu me dire que j'avais, sans des radios. Et j'ai eu de la chance encore, rendez-vous radios le lendemain. Comme moi je pensais que c'était que musculaire, et qu'il n'y aurait rien à faire qu'attendre que ça se rétablisse, je ne lui ai pas demandé d'arrêt. --------------- Et je regarde passer les jours comme les pages blanches d'un livre qui touche à sa fin. |
LeKeiser Appelez moi Marcel. |
--------------- Et je regarde passer les jours comme les pages blanches d'un livre qui touche à sa fin. |
Kilyn Milé sek milé | Mais va aux urgences fissa. Tu dis à l’entrée que tu n’as pas réussi à trouver un rendez-vous proche pour le spécialiste. On ne rigole pas avec la santé. Et comme dit si ça se ressoude mal tu vas être encore plus dans la mouise et il te faudra plus de temps pour récupérer. Impose toi dans la vie, surtout quand il s’agit de sa santé. Et fais toi arrêter. Le spécialiste répondra à toutes tes questions.
--------------- Nous ne sommes pas des êtres humains vivant une expérience spirituelle. Nous sommes des êtres spirituels vivant une expérience humaine. |
Syzygie ὁ θεός δυνατός ἐστί |
--------------- LIVESCORE TENNIS |
m'enfin meuuuunnoon Boaaaaafffffh |
|
froggycorp | Je prédis un "j'ai une mauvaise consolidation, que faire" d'ici quelques semaines |
rionsnoir | Tu peux aussi aller aux urg, en disant que le radiologue t'as dit de te présenter. --------------- Pseudo Nintendo: Mik |
D_omi sourit |
--------------- (='.'=)Think of how stupid the average person is, and realize half of them are stupider than that. G. Carlin (ˇˍˇ) |
Insert | Bah du coup faut dire l'inverse |
Kilyn Milé sek milé |
--------------- Nous ne sommes pas des êtres humains vivant une expérience spirituelle. Nous sommes des êtres spirituels vivant une expérience humaine. |
LeKeiser Appelez moi Marcel. | Popopo --------------- Et je regarde passer les jours comme les pages blanches d'un livre qui touche à sa fin. |
Publicité | Posté le ![]() ![]() |

| Sujets relatifs | |
|---|---|
| C lequel le plus gros topic @ HFR ? | Le topic sur les musiciens ? il est ou |
| [ forum ] les déviations temporaires de topic | [topic unique] Voyage |
| [Topic newbie]Question d'ordre général sur l'espace... | Harry Potter ! [THE topic] |
| [Topic UniK] Qui est - ce ?? | [Topic unik] - MMA |
| [Topic] instrument de musique différent... | Topic des belles pensées et autres aphorismes |
| Plus de sujets relatifs à : [topic santé] Chambre de garde - no diag c'est pas docti ici | |





